Skip to main content
Faculty of Medicine and Dentistry

Spatial Biology Hub

Exploring new dimensions in Biology

Spatial Biology Hub

The Spatial Biology Hub brings together scientists studying gene expression in its native context

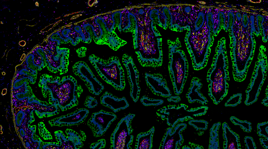
Spatial biology is an exciting and rapidly growing field that explores how cells, molecules, and tissues are organized and interact within their natural environments. Instead of just looking at individual cells or molecules in isolation, spatial biology takes a broader view, focusing on the bigger picture—how biological systems are arranged and function within the complex architecture of tissues and organs.

With cutting-edge technologies like spatial transcriptomics and high-resolution imaging, researchers can now map out gene activity, protein distribution, and cellular interactions with unprecedented detail. This approach provides deeper insights into how cells communicate and function in different parts of the body, offering new perspectives in areas like cancer research, neuroscience, and developmental biology. By understanding these spatial patterns, we can uncover new pathways for disease treatment and advance our understanding of biology to a whole new level.

A tissue is made up of a collection of different cells. Bulk techniques can tell what molecules are present in a tissue. Single-cell techniques can identify what cells the molecules belonged to, but the information about where in the tissue each cell is and what its neighbours are is lost. Spatial techniques can both preserve the architecture of the tissue and identify the cells present.

 

 

Back to top